三好プリベント歯科で一生、歯で悩むことのない人生を。




誠に勝手ながら、3/10(火)は院内研修のため 休診とさせていただきます。
当日は電話が繋がらないため、翌診療日の対応となります。
なお、定期検診、Vキッズ相談、顎顔面矯正相談のご予約はWEB予約またはアプリからの予約が可能です。ぜひご利用ください。
・3/13(金)、3/18(水)、3/25(水)、3/27(金)
14時15分〜19時00分
※矯正相談も矯正日に受け付けております。

誠に勝手ながら、2/10(火)は院内研修のため 休診とさせていただきます。
当日は電話が繋がらないため、翌診療日の対応となります。
なお、定期検診、Vキッズ相談、顎顔面矯正相談のご予約はWEB予約またはアプリからの予約が可能です。ぜひご利用ください。
・2/13(金)、2/18(水)、2/20(金)、2/25(水)
14時15分〜19時00分
※矯正相談も矯正日に受け付けております。

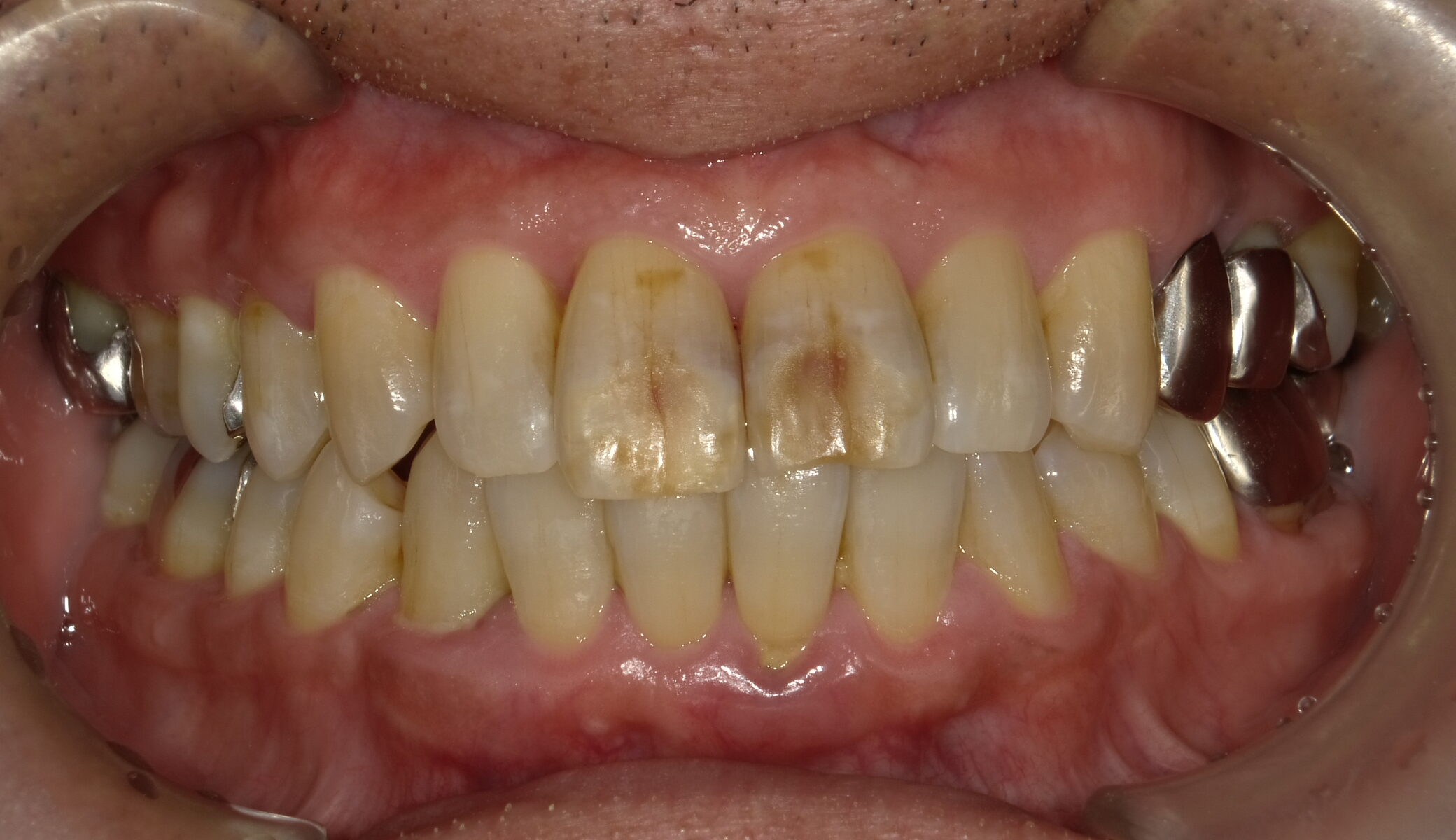
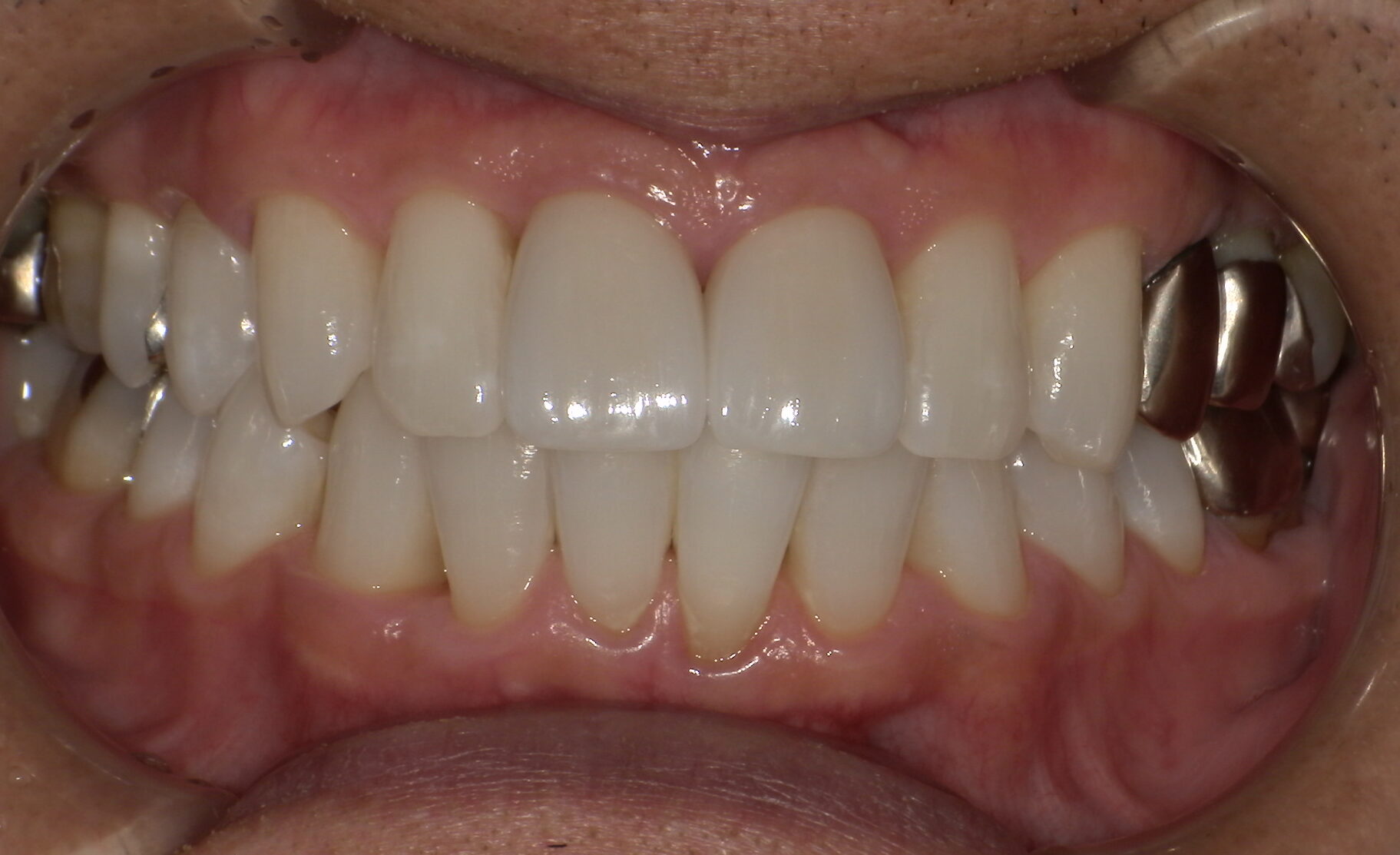
【治療内容】
ホワイトエッセンスコース
セラミック治療(右上1番、左上1番)


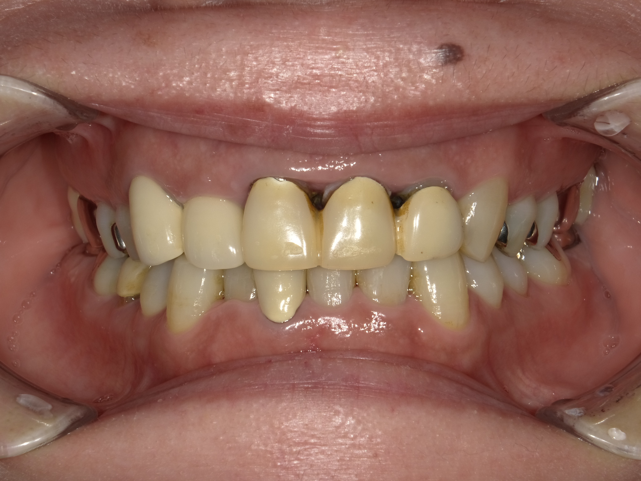
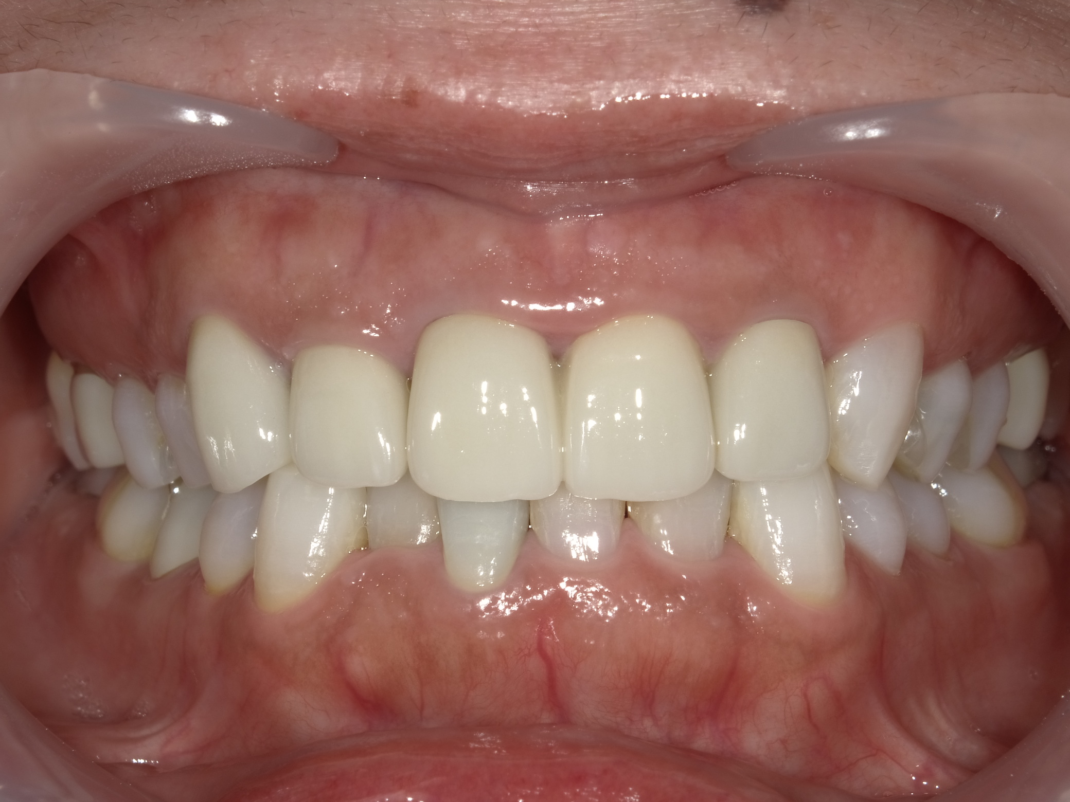
【施術内容】
ホワイトエッセンスコース


【施術内容】ホワイトエッセンスコース

